교정전문의 1인 원장체계로 정직한 진료, 퀄리티 높은 치료결과, 바뀌지 않는 평생주치의를 표방합니다.

반대교합교정 반대교합교정 case.1

페이지 정보

작성자 백상배치과교정과치과의원 댓글 0건 조회 1,639회 작성일 20-07-27 14:36

본문

be65a261595784cae1c92a98a4a42df6_1595828063_9103.png
be65a261595784cae1c92a98a4a42df6_1595828064_1559.png



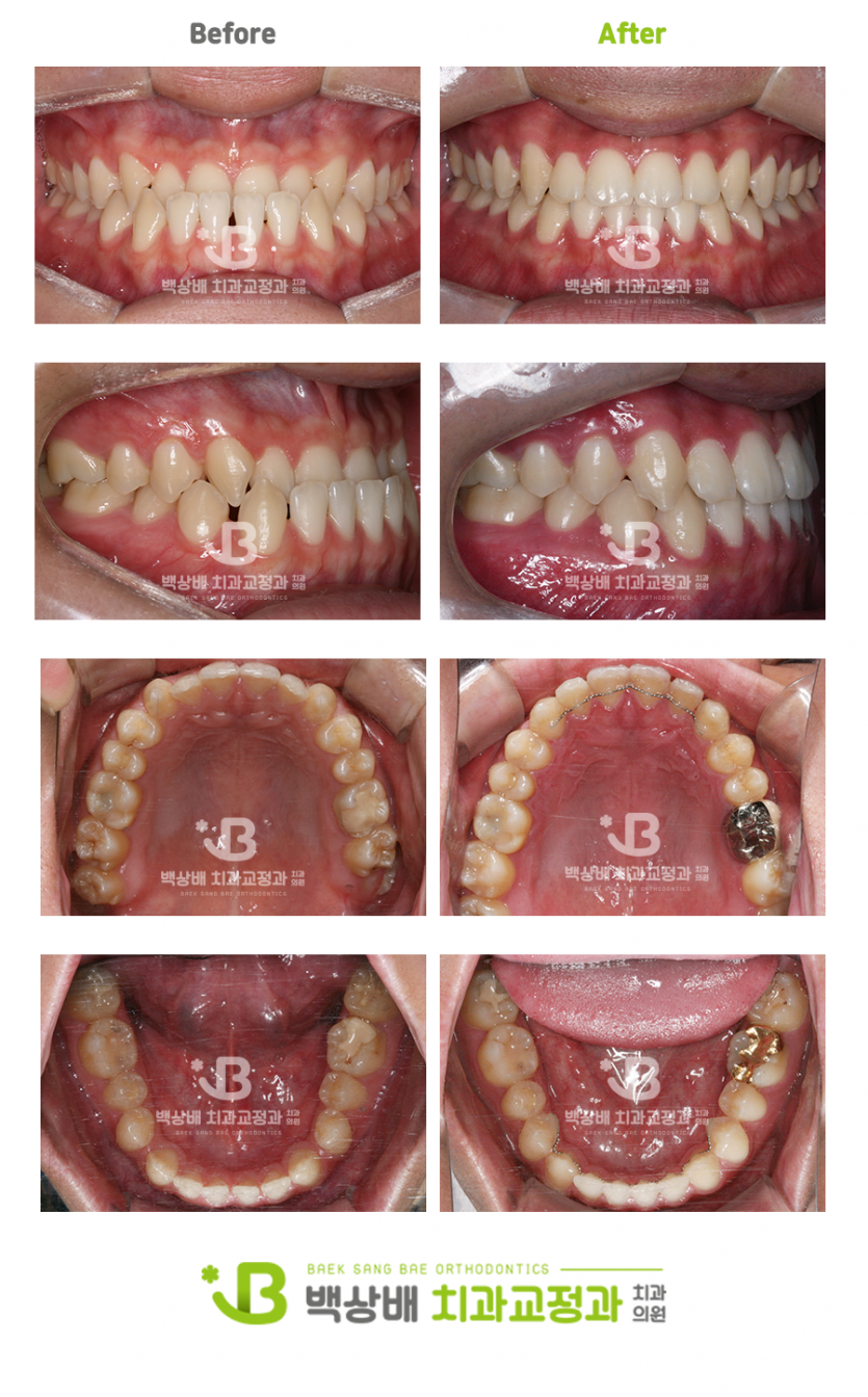
윗니가 아랫니를 덮는 것이 정상적인 교합입니다.
위 환자분의 경우 앞니가 거꾸로 물리는 반대교합으로 
수술이 필요할 수도 있었지만 교정치료만으로 올바른 교합과 심미적인 개선을 얻을 수 있었습니다.


 

댓글목록

등록된 댓글이 없습니다.