본 정보는 임시회원 아이디 신청 후 연람하실 수 있습니다.
의료법에 의거, 해당페이지의 열람은 임시아이디 신청후에 열람하실수 있습니다.
이에 동의하시는 고객님께서는 아래 임시 아이디로 사용하실 아이디를 입력하시고 [로그인]버튼을 클릭하세요.
의료법상 불가피한 것으로 많은 분들의 양해를 부탁드립니다.
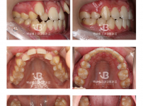
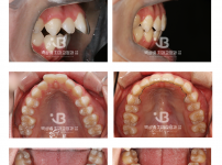
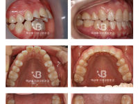
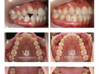
교정전문의 1인 원장체계로 정직한 진료, 퀄리티 높은 치료결과, 바뀌지 않는 평생주치의를 표방합니다.
▲






