교정전문의 1인 원장체계로 정직한 진료, 퀄리티 높은 치료결과, 바뀌지 않는 평생주치의를 표방합니다.

소아교정 송곳니 맹출 공간 부족 인비절라인 퍼스트

페이지 정보

작성자 백상배치과교정과치과의원 댓글 0건 조회 98회 작성일 26-01-25 12:13

본문

575db339029b3b08578a59c29a33247c_1769310573_0385.png
575db339029b3b08578a59c29a33247c_1769310576_4136.png




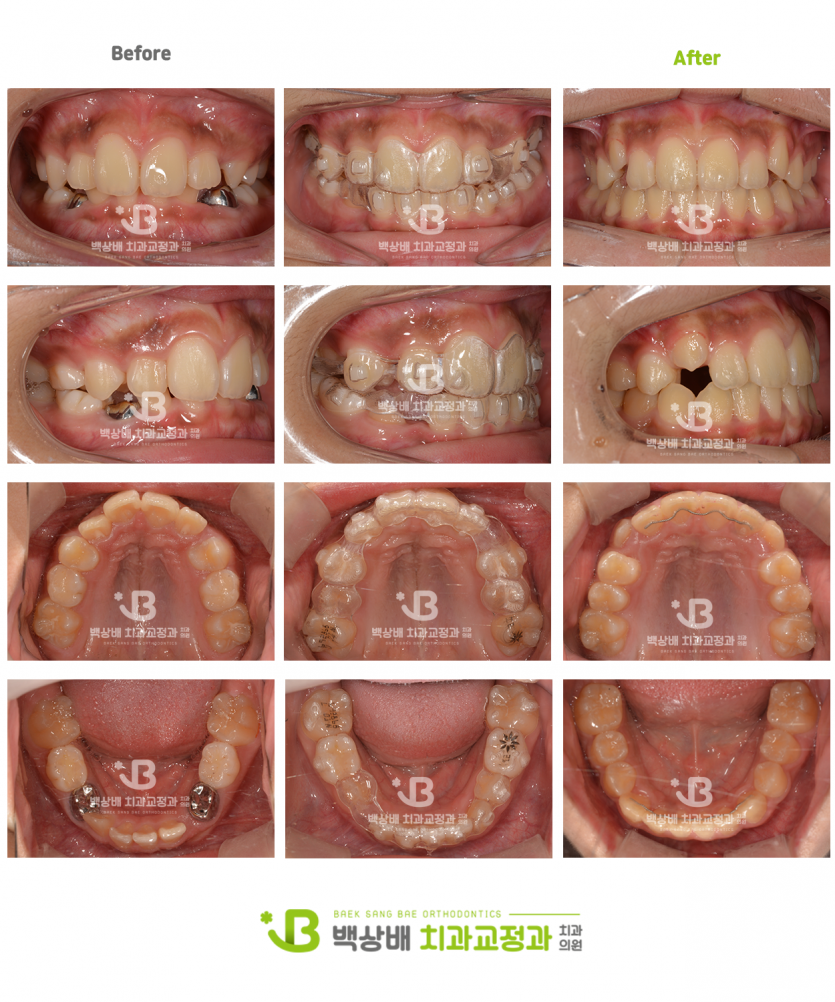
[치료 기간 : 2023.10.04~2025.09.17]

송곳니 맹출 공간이 부족하고 앞니가 깊게 물려 인비절라인 퍼스트로 치료받으신 환자분으로,
악궁을 확장하며 송곳니 공간을 확보하고 교합을 개선하였습니다. 
송곳니 등 나머지 영구치 맹출을 지켜보며 2차교정 여부 관찰중에 있습니다.
 

댓글목록

등록된 댓글이 없습니다.