교정전문의 1인 원장체계로 정직한 진료, 퀄리티 높은 치료결과, 바뀌지 않는 평생주치의를 표방합니다.

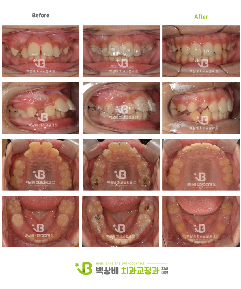
소아교정 튀어나온 앞니 인비절라인 퍼스트

페이지 정보

작성자 백상배치과교정과치과의원 댓글 0건 조회 468회 작성일 24-11-16 20:06

본문

46492b4e84f202fcfb52b2a895c33538_1731755015_8992.png46492b4e84f202fcfb52b2a895c33538_1731755015_3783.png



[치료 기간 : 2023.12.06~2024.10.07]


튀어나오고 깊게 물리는 교합의 혼합치열기 환자로

부정교합의 심화를 방지하기위해 인비절라인퍼스트로 조기 교정을 진행하였습니다.

치료 완료 후 주기적인 맹출 상태 지켜보며 2차교정 시기 및 필요 여부 관찰 예정입니다.
 

댓글목록

등록된 댓글이 없습니다.