교정전문의 1인 원장체계로 정직한 진료, 퀄리티 높은 치료결과, 바뀌지 않는 평생주치의를 표방합니다.

수술교정 앞니 결손으로 임플란트를 동반한 교정

페이지 정보

작성자 백상배치과교정과치과의원 댓글 0건 조회 516회 작성일 24-08-11 11:49

본문

2235db329b46c2bf5e36e53676837358_1723343356_6866.png
 

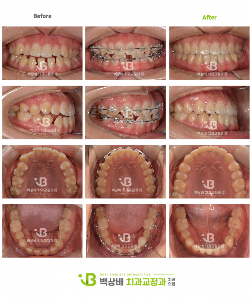
[치료 기간 : 2022.02.03~2024.07.12]


아래 앞니가 2개 결손된 환자분으로 교정치료를 통해 결손된 부위를 치아 공간 1개로 분배하였습니다

우측은 3급 교합으로 유지하였고 교정 마무리 시기에 임플란트 식립 후 치료를 종료하였습니다.


댓글목록

등록된 댓글이 없습니다.