교정전문의 1인 원장체계로 정직한 진료, 퀄리티 높은 치료결과, 바뀌지 않는 평생주치의를 표방합니다.

덧니교정 덧니 인비절라인 교정

페이지 정보

작성자 백상배치과교정과치과의원 댓글 0건 조회 779회 작성일 24-08-11 11:25

본문

2235db329b46c2bf5e36e53676837358_1723342875_7406.png
 



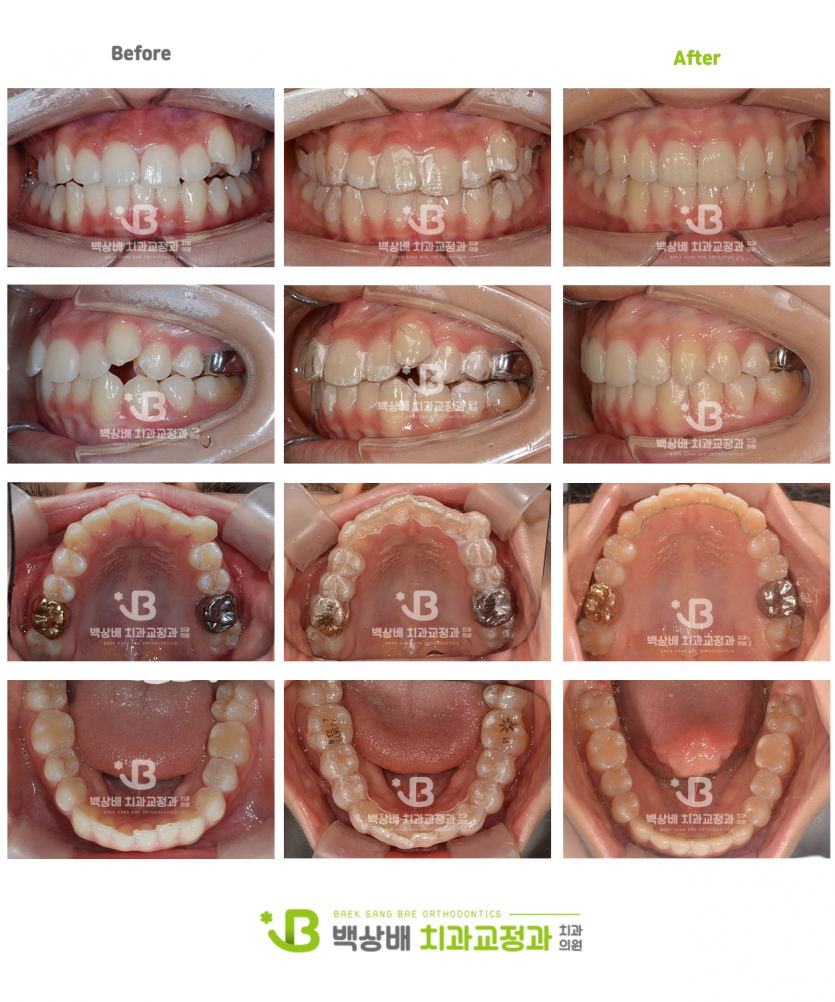
[치료 기간 : 2022.12.03~2024.06.07]


덧니로 인해 교정치료 받으신 환자분입니다.

투명교정 장치인 인비절라인으로 치료받으셨고 

치간삭제와 어금니 후방이동 등을 동반하여 발치 없이 공간을 확보해 덧니를 배열하였습니다


댓글목록

등록된 댓글이 없습니다.