교정전문의 1인 원장체계로 정직한 진료, 퀄리티 높은 치료결과, 바뀌지 않는 평생주치의를 표방합니다.

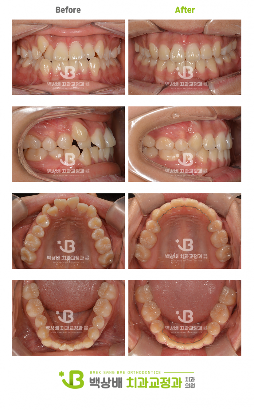
덧니교정 덧니교정 case.11

페이지 정보

작성자 백상배치과교정과치과의원 댓글 0건 조회 506회 작성일 24-05-30 16:48

본문


964a552ecc028186f63ae10ff0aa16a8_1717055013_0263.png



 
964a552ecc028186f63ae10ff0aa16a8_1717055048_0191.png

 
[치료 기간 : 2022.03.04~2024.04.26]

소구치 발치를 동반한 교정치료로 덧니를 개선한 환자분의 치료 사례입니다 :)
입술 돌출은 심하지 않지만 덧니의 배열 공간이 부족하여 발치를 시행하였고
윗니에 기대고 있던 아랫입술이 약간 뒤로 위치하게 되어 입술의 모양이 좀 더 자연스러워졌습니다.


 

댓글목록

등록된 댓글이 없습니다.