교정전문의 1인 원장체계로 정직한 진료, 퀄리티 높은 치료결과, 바뀌지 않는 평생주치의를 표방합니다.

소아교정 다수 결손치 인비절라인 퍼스트

페이지 정보

작성자 백상배치과교정과치과의원 댓글 0건 조회 698회 작성일 24-03-31 13:33

본문

b8f3ef4e03f9cdc79e412560d52b239a_1711859243_9373.png
b8f3ef4e03f9cdc79e412560d52b239a_1711859351_0611.png




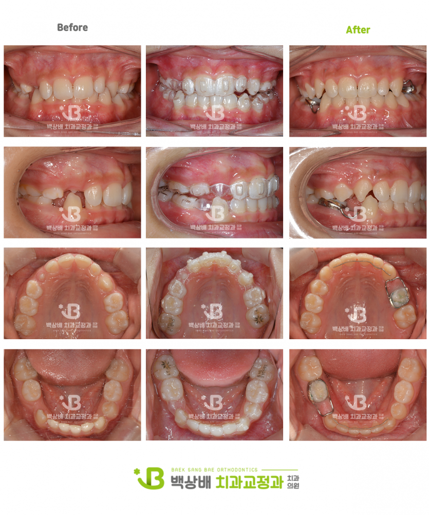
[치료 기간 : 2023.03.21~2024.03.06]


다수의 결손치가 있는 환자분으로 치열이 무너지고 과개교합이 심해 타원에서 의뢰하신 환자분입니다.

인비절라인 퍼스트를 이용해 치아를 제위치로 배열하고 깊어진 과개교합을 개선하였고

성장이 완료될 때까지 결손 부위의 공간을 유지할 수 있도록 공간유지장치를 장착하였습니다.


 

댓글목록

등록된 댓글이 없습니다.