교정전문의 1인 원장체계로 정직한 진료, 퀄리티 높은 치료결과, 바뀌지 않는 평생주치의를 표방합니다.

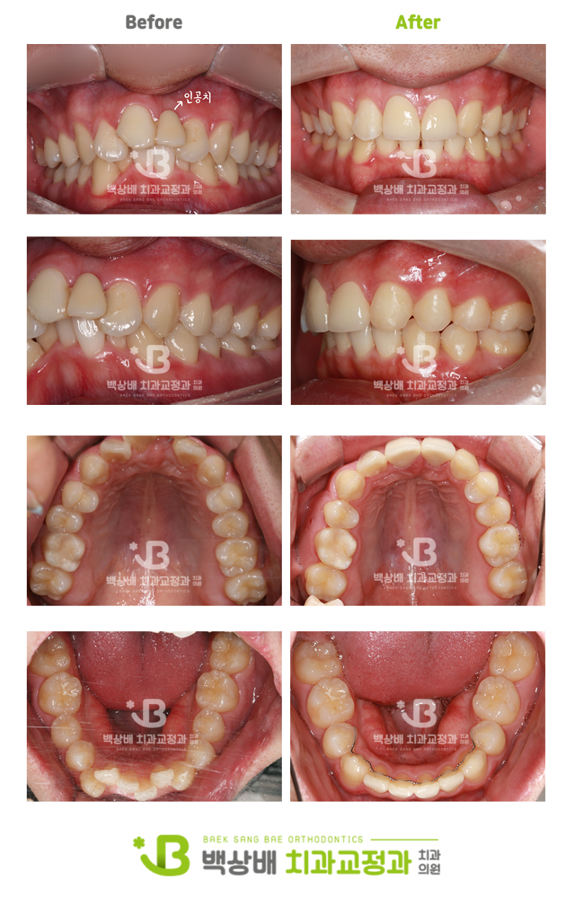
기타 치아의 결손으로 인한 교정과 보철치료case.1

페이지 정보

작성자 백상배치과교정과치과의원 댓글 0건 조회 1,263회 작성일 20-11-10 12:12

본문

dd9cef18470fae5cafe09eb0ba3f586d_1604977773_4203.png
dd9cef18470fae5cafe09eb0ba3f586d_1604977773_5845.png


사고로 인한 치아 파절과 발치로 인해 
작은앞니와 송곳니를 각각 큰앞니와 작은앞니로 대체하여 교정치료 후
 마무리단계에서 보철치료로 심미성을 회복하신 환자분의 사례입니다^^
 

댓글목록

등록된 댓글이 없습니다.